![]() |
||
![]() |
||
![]() |
||
Services Offered Cosmetic |
||
|
||
Cosmetic Dentistry at Sweet Smile Art, it is a word with many meanings. The music of a symphony, the work of painters and sculptors – all are examples of culture and artistry. We believe that dentistry is also an art form 'What is more beautiful than the lovely smile celebrated by artists, down through the ages'. At Sweet Smile', we have created a dental practice dedicated to making your smile as beautiful as possible. All porcelain crowns, ceramic veneers, and tooth whitening can all help change your smile to one that makes you look more attractive and confident
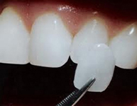
Laminates & Veneers are routinely used to cover teeth which are discolored, worn, chipped, or misaligned. Laminates & Veneers, often alternatively termed dental veneers or dental porcelain laminates, are wafer-thin shells of porcelain which are bonded onto the front side of teeth in order to cosmetically improve their appearance. Typically veneers are difficult to stain, making veneers a very popular solution for many people seeking that perfect smile. Strong and very durable, veneers last from ten to fifteen years, and come in colors that will brighten dark teeth without the worry of them changing color. The beautiful part about laminate and venners is only the visible portion of natural tooth has to be reduced and laminate and veneer can be placed as in case of crown or cap here we don't have to cut all surfaces of tooth but only just have reduce visible surface which maintains our natural tooth in strong condition. |
|
|
![]() |