![]() |
||
![]() |
||
![]() |
||
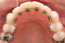
Advanced Services Offered Lingual Braces |
||
|
||
Braces aren't just for teenagers. it’s never too late to improve your dental health and beautify your smile. Even adult can wear braces. Your general dentist can help you determine if orthodontic treatment is the right option for you. Your general dentists may even be able to treat your orthodontic problems. You can also request an evaluation and receive treatment from an orthodontist, a specialist in diagnosing, preventing and treating improper alignment of the teeth.
Here we do Ceramic method to avoid a direct look of any types of braces from outside a metal braces are fitted from inside during the treatment period. As a dentist at Sweet Smile we have our own Dr. Amit, who is specially trained for the purpose by undergoing a special Smile Design Advance Course.
|
|
|
![]() |