We Care For:
Your Health
&
Your Valuable Time

Highlights:
Top Class Treatment
All Types Dental Services
Dombivli Stn. 5 min. Walk
Co-operative Staff
2 Separate Dental Units
Separate Sterilization Unit
Digi X-Ray, Less Radiation
Intra Oral Camera
All for Affordable Charges

Case Study Photos

Services Offered - Basic
Endodontic

- Root Canal

Cosmetic - Tooth Whitening
- Metal Free Crowns
- Laminates & Veneers
- Composite Filling
- Tooth Colour, Silver to White
Periodontic - Gums Treatment
Orthodontic - Teeth Alignment - Braces
Prosthetic - Teeth Replacement
- Complete Denture
- Ceramic Bridge
- Metal Free Bridge

 
Services Offered - Advanced
Endodontic - Root Canal in Single Seating
Cosmetic - Smile Design
Periodontic - Implant
Orthodontic - Ceramic Braces
- Lingual Braces
Pediatric - Child Treatment
Oral Surgery - Tooth Extraction, Wisdom Tooth
 

Case Study Photos

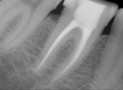
Root Canal, X-Ray on completion & Process Photo
Teeth Whitening
Composite Filling
Smile Design
Pediatric Treatment
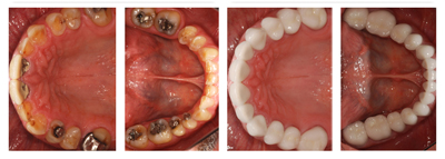
Full Mouth Rehabilitation
Gum Treatment
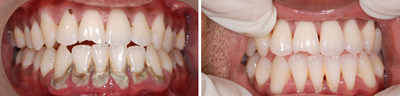
Teeth Alignment
Complete Denture
Implant Denture
Implant

Wisdom Tooth
 

   
 

Root Canal, X-Ray on completion & Process Photo


(white space in X-Ray is treated area)

Top  
 

Teeth Whitening

Top  
 

Composite Filling

Top  
 

Smile Design

Top  
  Pediatric Treatment

Top  
  Full Mouth Rehabilitation

Top  
  Gum Treatment

Top  
 

Teeth Alignment

Top  
 

Complete Denture

Top  
 

 

Implant Denture

Top  
 

Implant

Top  
 

Wisdom Tooth

Top